Dental Office in Flint

Dentistry Before and After Photos in Flint

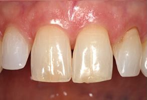
Lindenbrook Dental Care | Oral Cancer Screening, CBCT and Dental Bridges

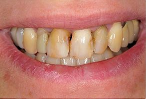
Before

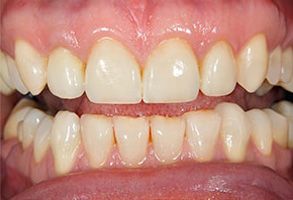
Lindenbrook Dental Care | Oral Cancer Screening, Preventative Program and Extractions

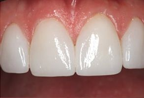
After

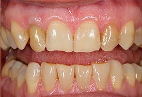
Lindenbrook Dental Care | Night Guards, Sedation Dentistry and Dentures

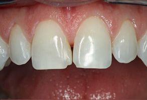
Before

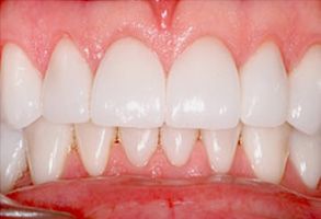
Lindenbrook Dental Care | Periodontal Treatment, Night Guards and Invisalign reg

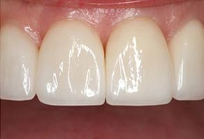
After

Lindenbrook Dental Care | Periodontal Treatment, Sedation Dentistry and Digital Radiography

Before

Lindenbrook Dental Care | Digital Radiography, Dental Fillings and Oral Exams

After

Lindenbrook Dental Care | Implant Dentistry, Extractions and Dental Bridges

Before

Lindenbrook Dental Care | Root Canals, Preventative Program and Periodontal Treatment

After

Lindenbrook Dental Care | Veneers, Dentures and Invisalign reg

Before

Lindenbrook Dental Care | Digital Radiography, CBCT and Teeth Whitening

After

Lindenbrook Dental Care | Oral Cancer Screening, Night Guards and Sedation Dentistry

Before

Lindenbrook Dental Care | Dental Bridges, Dentures and Preventative Program

After

Lindenbrook Dental Care | Root Canals, Teeth Whitening and Emergency Treatment

Before

Lindenbrook Dental Care | Digital Radiography, Veneers and Implant Dentistry

After

MOST INSURANCES WELCOME AND MAXIMIZED!
NEW PATIENT SPECIALS & FINANCING OPTIONS AVAILABLE.
Contact us to schedule an appointment today.
Contact Us
Submit

Thank You!

We appreciate you taking the time to visit our site. We'll review your message and be in touch with you soon.

Continue
Flint Dentist